Tình huống
Bạn còn nhớ bài tập phân biệt lọ mất nhãn trong Hóa học phổ thông? Có 4 phim X-quang bị mất thông tin bệnh nhân. Hãy dùng thông tin bệnh án để tìm phim X-quang cho 2 bệnh nhân sau:
- Bệnh nhân nam 60 tuổi khởi phát sốt, ớn lạnh và ho đàm khi đang nằm viện hậu phẫu. Rung thanh giữa phổi phải tăng. Nhuộm Gram đàm thấy ít tế bào vảy, nhiều bạch cầu đa nhân và cầu khuẩn gram dương thành từng đám.
- Bệnh nhân nam 85 tuổi ho đàm và đổ mồ hôi đêm 3 tháng nay. Khám nghe thấy ran nổ thùy trên hai bên.
X-quang:
Giải thích
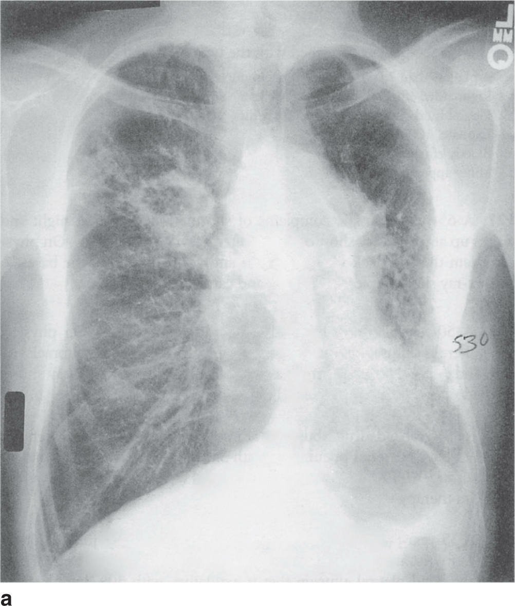
(1) Bệnh nhân 60 tuổi hậu phẫu:
- Khởi phát cấp tính với sốt, ho đàm và ớn lạnh ở bệnh nhân đang nằm viện hậu phẫu gợi ý viêm phổi bệnh viện (HAP). Hình ảnh cầu khuẩn gram dương thành từng đám trên nhuộm Gram gợi ý tụ cầu vàng, là tác nhân thường gặp trong viêm phổi bệnh viện, đặc biệt trên bệnh nhân phẫu thuật hoặc đặt nội khí quản.
- X-quang hình A cho thấy tổn thương khu trú vùng giữa phổi phải, có hình ảnh hoại tử tạo khoang, phù hợp với viêm phổi tụ cầu – có thể diễn tiến thành áp xe phổi nếu khoang lớn hơn 2 cm.
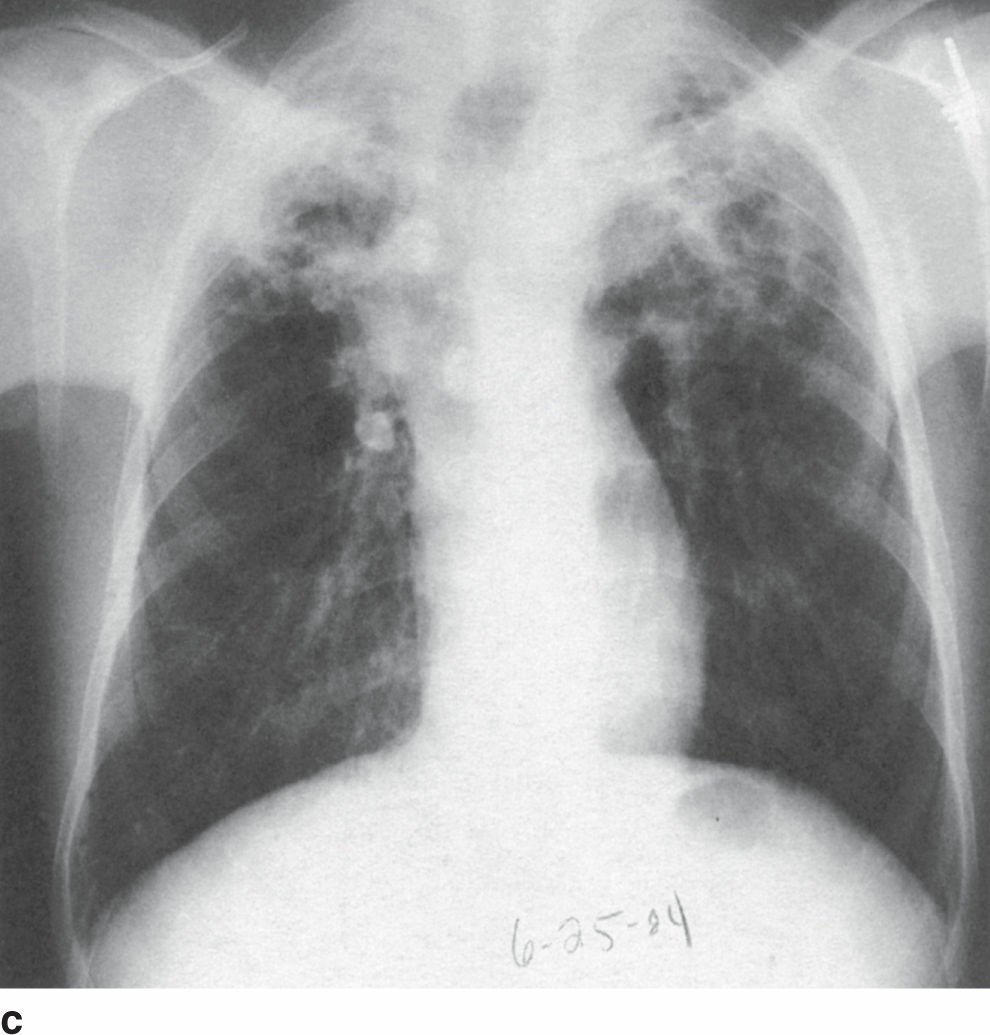
(2) Bệnh nhân 85 tuổi ho đàm, đổ mồ hôi đêm. Chẩn đoán sơ bộ là lao phổi:
- Người lớn tuổi, ho đàm mạn tính kèm triệu chứng toàn thân như sốt nhẹ về chiều, mồ hôi đêm gợi ý lao phổi. Khám có ran nổ thùy trên và X-quang C cho thấy tổn thương kinh điển của lao: sẹo, xơ, và hang ở đỉnh và thùy trên phổi – đặc trưng của thể lao phổi tái hoạt.
Phân tích các hình ảnh khác:
- Hình B: Bóng tim to, tái phân bố tuần hoàn, phù phổi hình cánh bướm – điển hình cho suy tim sung huyết.
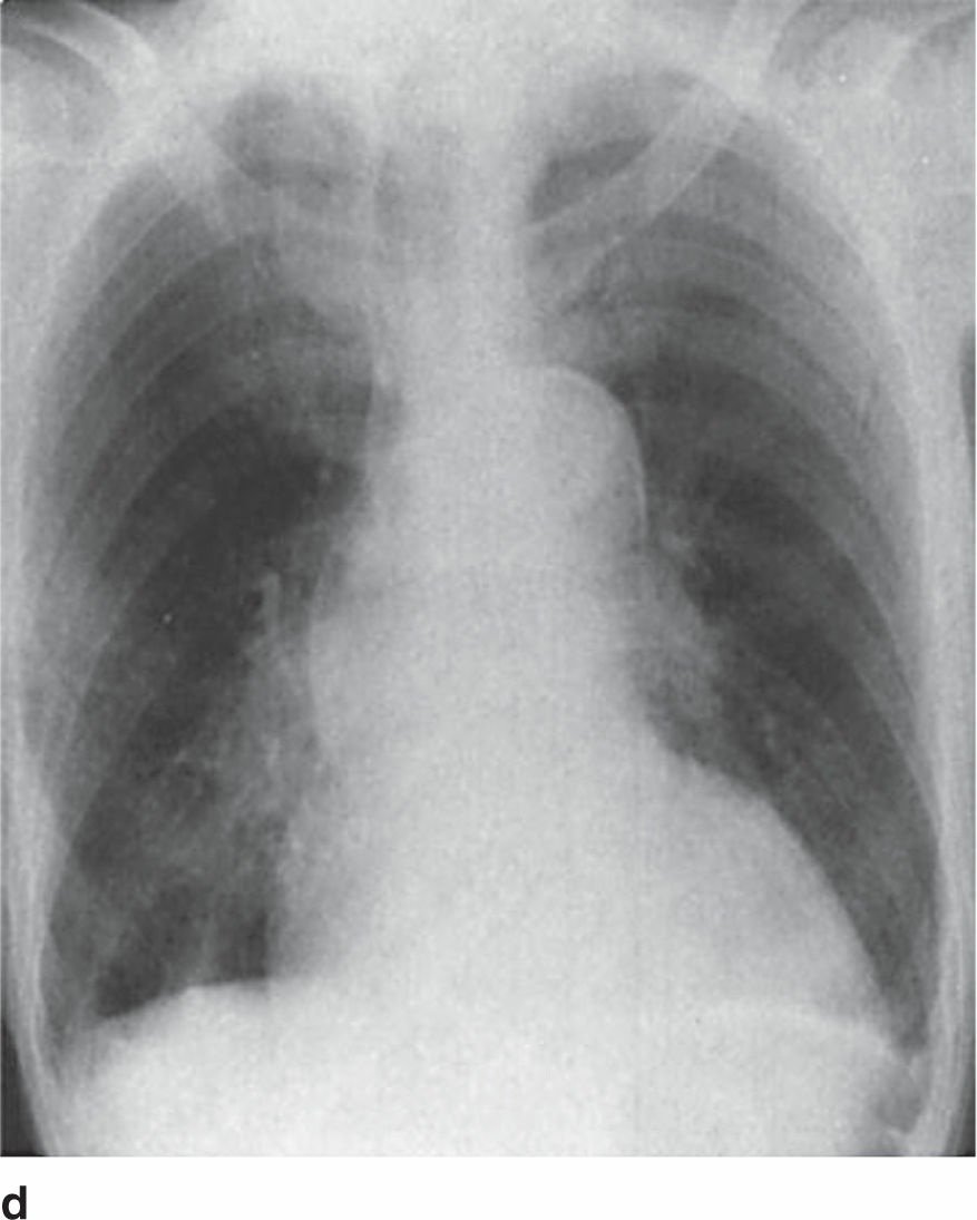
- Hình D: Bóng tim lớn dạng chiếc ủng, phù hợp phì đại thất trái – gợi ý bệnh lý tim mạch mạn tính.
Từ khoá
- Hospital-acquired pneumonia (HAP): Viêm phổi bệnh viện
- Staphylococcus aureus: Tụ cầu vàng
- Necrotizing pneumonia: Viêm phổi hoại tử
- Lung abscess: Áp xe phổi
- Pulmonary tuberculosis: Lao phổi
- Upper lobe infiltrates: Thâm nhiễm thùy trên
- Cavitary lesion: Tổn thương hang
- Butterfly pattern: Hình cánh bướm (trong phù phổi)
- Cardiomegaly: Bóng tim to
- Sweating at night: Mồ hôi đêm